
به گزارش ایران اکونومیست و به نقل از نیو اطلس، تصویربرداری از مغز ویژگیهای مشخصی را در مغز مبتلایان به میگرن نشان میدهد.
اگر چه میگرن یک عارضه رایج است و میتواند اثرات شدید و ناتوانکنندهای داشته باشد، اما علت دقیق آن همچنان یک راز باقی مانده است.
اکنون یک مطالعه با استفاده از فناوری تصویربرداری پیشرفته برای به دست آوردن دیدگاه جدیدی در مورد ساختارهای مغز انجام شده است که فضاهای بزرگ در اطراف رگهای خونی را در افرادی که از این بیماری رنج میبرند، نشان میدهد و بینش مهم جدیدی را برای این موضوع فراهم میکند.
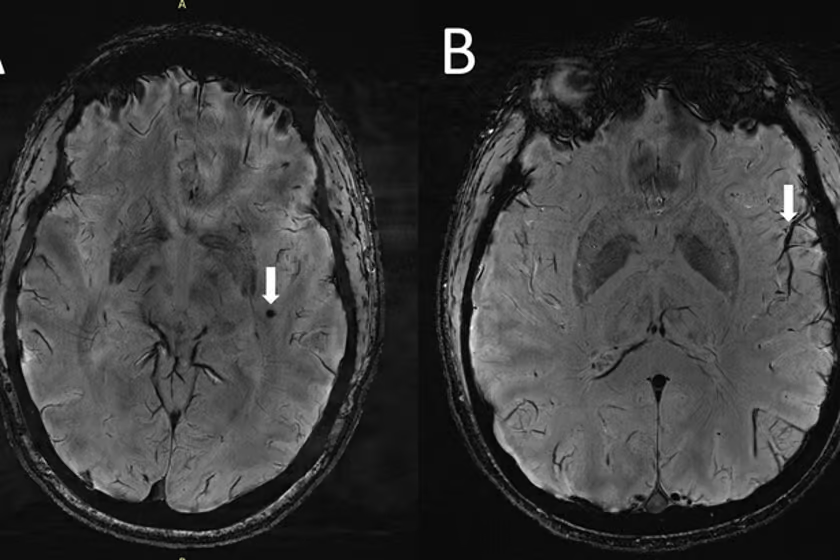
تمرکز این مطالعه بر روی فضاهایی است که به عنوان فضاهای اطراف عروق شناخته میشوند که شکافهایی در اطراف رگهای خونی هستند که به پاکسازی مایعات از مغز کمک میکنند. بزرگ شدن این فضاها قبلاً با بیماری عروق کوچک مرتبط بود و مواردی مانند التهاب و ناهنجاری در سد خونی مغزی میتواند بر شکل و اندازه آنها تأثیر بگذارد.
نویسندگان این مطالعه جدید به دنبال کشف رابطه بین فضاهای بزرگ شده اطراف عروق و میگرن بودند. آنها برای انجام این کار، ۵ فرد سالم، ۱۰ فرد مبتلا به میگرن مزمن و ۱۰ فرد مبتلا به میگرن دورهای بدون هاله را که میگرن بدون سوزن سوزن شدن و اختلال بینایی است، انتخاب کردند. سپس از یک فناوری تصویربرداری پیشرفته به نام ۷T MRI برای مقایسه تفاوتهای کوچک در مغز آنها استفاده شد.
میگرن مزمن با سردردهایی شناخته میشود که در ۱۵ روز یا بیشتر در هر ماه و بیش از سه ماه تکرار میشود و دارای ویژگیهای سردرد میگرنی در حداقل ۸ روز در هر ماه باشد. این بیماری ممکن است با هاله همراه باشد یا نباشد و معمولاً به داروها و رفتارهای پیشگیرانه برای کنترل نیاز دارد و معمولاً ناتوان کننده است.
میگرن بدون هاله نیز رایجترین شکل میگرن است. علائم آن شامل سردرد نبضزنندهی متوسط تا شدید است که بدون هشدار، آغاز و معمولاً در یک طرف سر احساس میشود. این سردرد با حالت تهوع، گیجی، تاری دید، تغییرات خلق، خستگی و حساسیت فزاینده به نور، صداها یا بوها همراه است. حملات آن معمولاً بین ۴ تا ۷۲ ساعت طول میکشد و چندین بار در سال تا چندین بار در هفته تکرار میشود. حرکت کردن معمولاً حمله را شدیدتر میکند.

"ویلسون ژو" از دانشگاه ساوث کالیفرنیا در لس آنجلس میگوید: طبق دانش ما، این اولین مطالعه با استفاده از MRI با وضوح فوقالعاده بالا برای بررسی تغییرات ریزعروقی در مغز ناشی از میگرن، بهویژه در فضاهای اطراف عروق است.
وی افزود: از آنجایی که فناوری ۷T MRI قادر است تصاویری از مغز با وضوح بسیار بالاتر و کیفیت بهتر نسبت به سایر انواع MRI ایجاد کند، میتوان از آن برای نشان دادن تغییرات بسیار کوچکتری که در بافت مغز پس از میگرن رخ میدهد، استفاده کرد.
از جملهی این تغییرات، خونریزیهای کوچک مغزی، همراه با بزرگ شدن فضاهای اطراف عروق در ناحیه مرکزی سِمیاُوال(centrum semiovale) در مغز مبتلایان به میگرن بود.
ژو میگوید: در افراد مبتلا به میگرن مزمن و میگرن اپیزودیک بدون هاله، تغییرات قابل توجهی در فضاهای اطراف عروق ناحیهای از مغز به نام centrum semiovale وجود دارد. این در حالی است که این تغییرات تاکنون هرگز گزارش نشده بود.
هنوز سوالات زیادی وجود دارد که دانشمندان باید به آنها پاسخ دهند. یکی از آنها این است که آیا این تغییرات در نتیجهی میگرن رخ میدهد یا این وضعیت موجب پیشرفت انواع میگرن میشود؟
این گروه پژوهشی پیشبینی میکند که تفاوتها در فضاهای اطراف عروق ممکن است نشاندهنده اختلال در سیستم گلیمفاتیک باشد که با فضاهای اطراف عروق برای پاک کردن مواد زائد از مغز کار میکند.
پژوهشگران امیدوارند این اسرار را با انجام مطالعات بزرگتر بر روی گروههای متنوعتر، در بازههای زمانی طولانیتر کشف شود.
ژو میگوید: نتایج مطالعه ما میتواند به الهام بخشیدن به مطالعات آینده و در مقیاس بزرگتر برای ادامه بررسی چگونگی تأثیر تغییرات در عروق میکروسکوپی مغز و خونرسانی به انواع مختلف میگرن کمک کند. در نهایت، این مطالعه میتواند به ما کمک کند تا راههای جدید و شخصیسازی شدهای برای تشخیص و درمان میگرن ایجاد کنیم.
دانشمندان هفته آینده مطالعه خود را در نشست سالانه انجمن رادیولوژی آمریکای شمالی ارائه میکنند.